안녕하세요, 와우멍입니다.
21주차에 진행했던 정밀초음파의 기록입니다.
여성제일병원(구로, 이** 선생님)
1차~2차 기형아 검사 이후 서울라헬여성의원에서 집근처 15분거리(도보)에 있는 아름제일병원으로 전원했다.
산후조리원은 '아름제일 산후조리원'으로 예약했고 이 조리원은 아름제일병원에서 출산 해야지만 산후조리원 이용이 가능하다.
이곳 병원의 특이한점은 정밀초음파, 입체초음파, 임당검사 등 특정 시간에 진행해야하는 검사 외에는 접수 순서로 진료가 가능하다. 그래서 주말, 평일 아침에는 웨이팅이 상당하다.. ㄷㄷ 또한 초음파 등 검사를 보고 나서 검사 결과를 선생님께 듣기 위해서는 추가로 웨이팅이 필요한 상황.
이종원 선생님께 검진을 받고 있는데, 선생님께 진료 받으시는 산모분들은 많아 웨이팅이 더 걸린다
진료 받으면 왜 인기가 많은지 알수있다. 정말 상냥·친절하시고 산모 신경을 많이 써주신다.. 그리고 제왕절개도 흉터도 적다는 후기도 많다.
긴장된 정밀초음파(21주)
정밀초음파는 아기가 어떤 자세를 하느냐에 따라서 시간이 더 걸리기도 한다는데, 20분정도 봤다.
1차, 2차 기형아 검사는 선별 검사라 결과가 확률로 나온다면, 정밀초음파는 아기가 잘 성장하고 있는지 문제가 있는지 미리 대비하기 위함으로 초음파를 통해 대략적으로 확인이 가능하다.
기본 정보(머리둘레, 몸통둘레, 허벅지뼈 길이)
▒ 관련 초음파 용어
· BPD(Biparietal Diameter): 양쪽 머리뼈 사이 거리(머리 가로 폭)
· HC(Head Circumference): 머리 둘레 전체 측정
· AC(Abdominal Circumference): 복부 둘레(체중 추정 중요 지표)
· FL(Femur Length): 대퇴골(허벅지뼈) 길이
· EFW(Estimated Fetal Weight): 태아 예상 체중
· GA(Gestational Age): 임신 주수
· EDD(Estimated Due Date): 예상 분만일




전체적인 성장 정도를 판단한다(434g이다 ㅋㅋㅋ 귀여워).
척추, 뇌

척추가 제대로 잘 닫혀있는지 확인한다. 잘 닫혀있음!
▒ 관련 초음파 용어
· Va(Ventricular Atrium): 대뇌 측뇌실(Atrium) 크기 측정(정상 범위: ≤10 mm)
· Vp: 대뇌 측뇌실의 뒤쪽(이상 소견 시 수두증 의심 가능)
· Cereb: 소뇌
· NF: 목덜미 두께(정상 범위: ≤6 mm, 21주 기준)


뇌도 정상적으로 발달했고 뇌실도 정상범위에 있었다.
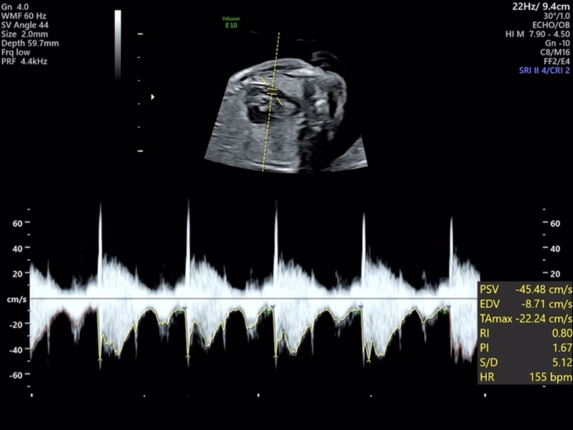
심장
심장은 이해하기 어려웠다. 2심방 2심실의 판막이 제대로 닫혔는지, 혈류가 각각에 잘 흐르는지 위치별 초음파를 봤다.
정상적으로 판막이 잘 닫혔고 정맥/동맥이 잘 흐르는걸 확인했다.


얼굴, 손발, 다리
▒ 관련 초음파 용어
· BOD(Binocular Distance): 양쪽 눈 바깥 경계 간 거리
· IOD(Interorbital Distance): 두 눈구멍사이 거리


눈과 눈사이 거리도 정상 범위에 있었다.





얼굴, 다리(발과 다리뼈가 휘어지지 않고 제대로 자라고 있음), 손발(5개씩) 모두 정상 범위!
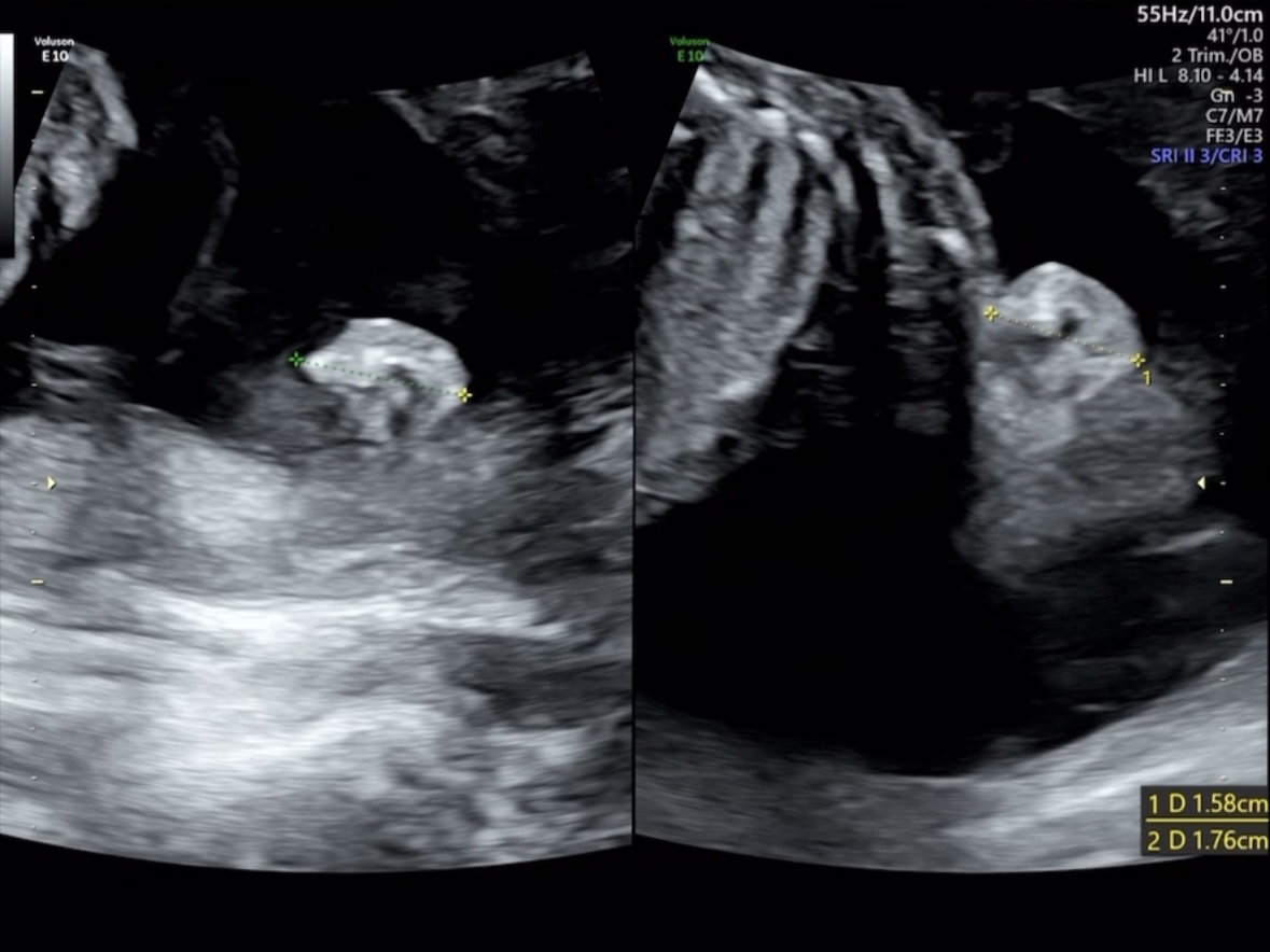
추후 검진이 필요했던 콩팥
다른 장기들은 정상범위에 있었지만, 주수 대비 콩팥이 늘어나 있엇다(현재: 5.51mm, 21주 정상범위: 4mm 이하).
콩팥과 관련이 있는 양수량(13.51cm)은 다행히도 정상범위라 이상이 있어 보이지는 않지만 한달후에 다시 살펴보자고 하셨다.
주수가 지남에 따라 콩팥이 커지게되면 양수부족, 신장 기능 저하(심부전), 수신증 등의 위험으로 대학병원에서 출산해야 한다고 한다(이럴 경우, 산후조리원도 다시 알아봐야함..).


한달 후 재초음파(25주)
다행히도, 한달 후 콩팥을 초음파 상으로 다시 봤을때는 2.27mm로 정상범위로 돌아와 있었고, 의사 선생님께서 이상이 있어서 커진건 아닌것 같다고 하셨다. 마음이 놓였다.

정밀 초음파는 무사히 끝났고, 무서운 .. 임신성당뇨 검사 시기가 다가왔다.

Minolta Panorama, Kodak 200, 제주
'Baby > 태어나기까지' 카테고리의 다른 글
| [출산기록] 걱정 많은 초산모의 제왕절개 후기(1) (아름제일병원) (1) | 2025.09.02 |
|---|---|
| 임신 기록(28주~막달), 기침감기와 함께한 생활들(백일해 주사, 자궁수축, 임산부 약, 섬유 무기폐) (10) | 2025.08.03 |
| 임신 기록(25주), 임당(임신성 당뇨) 재검 후기, 아름제일병원 (13) | 2025.05.06 |
| 임신 기록(12~15주), 니프트(프리시젼 제노맘), 신경관결손 검사, 서울라헬여성의원 (2) | 2025.04.27 |
| 임신 기록(3주~10주), 서울라헬여성의원 (0) | 2025.04.19 |
댓글